상담
하기
상담이 필요하세요?
궁금하신 것은 무엇이든 친절하게 알려드립니다.

피부질환
JD DERMATOLOGY 01
피부질환
환자에 꼭 필요한 시술과 꼼꼼한 1:1 진료를 통해
여러분의 피부질환들을 깨끗하게 개선시켜 드립니다.
01
아토피피부염
아토피피부염은 주로 유아기 혹은 소아기에 시작되는 만성 재발성의 염증성 피부질환으로 가려움증과 피부건조증, 습진을 동반합니다. 성장하면서 자연히 호전되는 경향을 보이지만 성인이 되어서도 손이나 얼굴, 몸통 등의 특정 부위로 반복되는 피부염의 형태로 반복되는 경우도 흔합니다.
02
두드러기
두드러기는 전신의 가려움증과 함께 피부가 붉거나 흰색으로 부풀어 오르는 증상을 보이는 피부질환입니다. 급성 두드러기의 경우 수주 이내에 호전되는 것이 대부분이나 만성 두드러기의 경우 6주 이상 지속되며 지속적인 약물치료와 꾸준한 관리가 필요합니다.
03
티눈사마귀
티눈은 압력을 받는 부위에 발생하는 피부 질환이며 사마귀는 인유두종 바이러스 감염으로 발생하는 피부의 과각화성 결절을 보이는 질환입니다. 사마귀 바이러스는 치료 후에도 재발이 흔하고 본인 뿐 아니라 다른 사람에게도 전염 될 수 있으므로 빠른 치료가 필요합니다.
04
원형탈모
다양한 크기의 원형 또는 타원형의 탈모가 발생하는 것이 특징입니다. 주로 머리에 발생하며, 드물게 수염, 눈썹이나 속눈썹에도 생길 수 있고, 증상 부위가 확대되면서 큰 탈모반이 형성되기도 합니다.
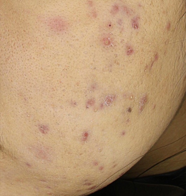
여드름과 흉터
BEFORE
AFTER
여드름과 흉터
BEFORE
AFTER
여드름과 흉터
BEFORE
AFTER
여드름과 흉터
BEFORE
AFTER
여드름과 흉터
BEFORE
AFTER
여드름과 흉터
BEFORE
AFTER
홍조와 민감성 피부
BEFORE
AFTER
홍조와 민감성 피부
BEFORE
AFTER
기미와 색소
BEFORE
AFTER
기미와 색소
BEFORE
AFTER
기미와 색소
BEFORE
AFTER
기미와 색소
BEFORE
AFTER
밀크커피반점
BEFORE
AFTER
제이디피부과  로고
042 . 488 . 3377
대전광역시 서구 둔산로 123번길 21
엠시티타워 4층
월   요   일   AM 10 : 00 - PM 08 : 00
화   수   금   AM 10 : 00 - PM 07 : 00
토   요   일  AM 09 : 30 - PM 03 : 00
점심 시간 PM 01 : 00 - PM 02 : 00

토요일 점심시간 없음 | 매주 목요일 휴무 (공휴일 있는 주는 정상진료)


로고

로그인

로그인 후 이용해주세요.